舌側矯正
舌側矯正とは
舌側矯正(リンガル)とは、歯の表側に装置を付けるのではなく、
歯の裏側に器具を装着し、矯正を行っていく治療法のことです。

歯の裏側に矯正器具を装着することで、目立つことなく治療が行えます。
矯正器具への抵抗感がある方、職業柄、目立つ装置が付けられない方には最適な治療法です。


また当医院では、世界60ヶ国以上で採用されているドイツ発のリンガルブラケット矯正装置『WIN』を採用しています。オーダーメイドでの製作となりますので、お一人おひとりの口腔状態に合わせた治療が行えます。
もう一つの治療法、舌側矯正の特長

- 矯正装置が目立たず、審美性が高い
- 表側の歯にダメージがない
- 虫歯のリスクが低い
- 幅広い年齢の方に適合
- 歯が前に出ている症例では前歯が後退させやすい
舌側矯正装置の製作工程
初めに、舌側矯正治療に必要な検査を行います。口腔内診査、レントゲン撮影、口腔内写真撮影、歯型の印象採得を行い、精密検査後は、3Dのデジタル歯列を作成します。歯の裏側に付けるブラケットは、歯の形体に合わせて製作します。

治療の流れ
-

初診相談
お口のお悩みをお聞きし、必要な処置や治療期間、費用などをご説明します。
-

精密検査
舌側矯正治療に必要な検査を行います。口腔内診査、レントゲン撮影、口腔内写真撮影、歯型の印象採得を行います。精密検査後は、3Dのデジタル歯列を作成します。
-

コンサルティング
精密検査から約2週間後に、診断結果と検査結果をお伝えします。治療プログラムをもとに治療計画や治療期間についての説明も行います。
-

舌側装置の作成
治療費のお支払を確認後、舌側矯正装置を発注します。
装置の到着まで、約8週間かかります。 -

舌側治療スタート
上下に分けて、舌側装置を装着します。月1回ごとの調整に来ていただきます。
-

治療後のメンテナンス
治療終了後は、後戻り防止のリテーナーを装着していただきます。定期的に通院していただき、後戻りがないかを確認します。
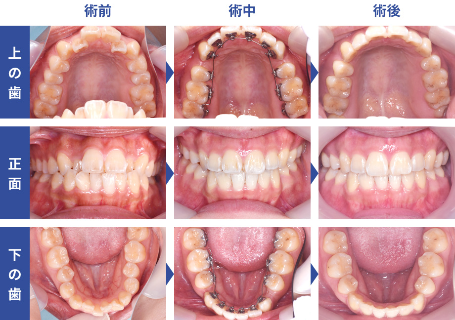
症例
症例1

症例2

